名古屋市名東区の歯医者・歯科医院

〒465-0073 愛知県名古屋市名東区高針原2−1802
高針原交差点左折すぐ

診療時間
9:00~12:20
14:00~18:00

△:水曜17:00、土曜17:20まで
休診日:木曜・日曜・祝日
祝日週の木曜日は午前のみ診療している場合もございます

歯科ドック

当院の検査

お口の健康を
最短ルートで実現できる方法

 当院では、お口の健康を回復・維持するために大切にしていること「患者様のお口の中、食生活などの現状を知る」ということです。そのためには「精密な検査」「正しい診断」が患者様のお口の健康への道のりやゴールを左右します。

例えば、よくこんなことがあります。

「年末に食事をしていたら、10年前に治療した銀歯が取れてしまい、急患で歯科医院で再度つけ直して終わりました。その1年後、再びその銀歯が取れてしまい激しい痛みを感じ歯の神経を取る治療をすることになってしまった。」

「自分は、あまりしっかり歯を磨いていないけど、歯は痛くならないし虫歯になったことがないから安心していたが、ある日歯茎が腫れて激しい痛みを感じ、歯科医院を受診したら歯周病が進行していますと言われてしまった。」

「他院で10年くらい定期健診で通院していたが、転院してレントゲンを撮影してもらうと虫歯と歯周病の進行が見つかり2年以上治療期間がかかった。」

どれも、『もし精密な検査をしていたら、、、』

回避することや、早めに対処することができ、時間を有効に活用できた事ばかりです。

残念ながら、私たちはこのような事と出会うことは日常茶飯事なのです。

当院にお越しになった患者さんには、このようなことは経験をしてもらいたくありません。

 

 そのために当院では「歯科ドック」という「人間ドック」のようなお口(口腔内)に特化した精密な検査をすることが可能です。

「歯科ドック」では、通常の検査では見えてこない、病気の根本的な原因を予防できる方法をお伝えできます。また、一本ずつの歯の現状がしっかり分かるため、いつ抜歯になるのか痛みがでるのか、先が見えない不安を抱えながらの生活から解放されるきっかけにもなるでしょう。また、特に歯周病や根尖性歯周炎(根尖部の膿の病気)は病気であるにもかかわらず、何年も経過観察され病状が悪くなっている方が多くいらっしゃいます。そのような場合、発見が遅くなると抜歯をせざる負えない場合も沢山あります。

また、治療方針は一つではないため、幾つかの方針を提示させて頂き、安心して方針を決められるようしっかりと話し合いをさせて頂きます。そしてお口の健康のゴールを達成できるように、ドクターと衛生士と患者様で一緒に目指していきたいと考えています。

 

歯科医療は日進月歩です。私たちは日々、精密検査の精度・診断の精度を上げて行くために学びを止めずに臨床でも経験値を上げて準備してお待ちしております。

ご自身のお口の健康に不安な方・自信のない方、この機会に自身のお口の状態を知りたい方など少しでもご興味のある方は下記の内容に歯科ドックの精密検査内容についてご紹介しております。

よろしければ、どうぞ下記にお進みください。

歯科ドック

歯科ドックの流れ

お問合せまたは初診日から治療開始までの流れをご説明します。

初診

問診・必要に応じてレントゲン撮影・口腔内の診査・説明など行います。所要時間:約40分

検査日

初診日より後日、歯科衛生士と歯科医師が精密検査を行います。所要時間:約60〜90分

DH・Drの話し合い
カンファレンス

検査日より約1週間以降に検査・診断結果と治療方針のご提案をDHと歯科医師が行います。所要時間:約30分〜

 歯科ドック
〜9つの検査について〜

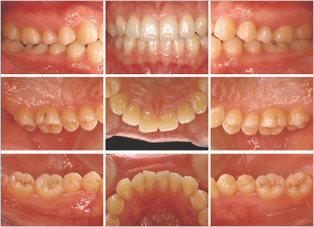
口腔内写真

歯の形態、噛み合わせ、詰め物の状態、歯茎の色、形などの現状をカラー写真で記録します。

口腔内写真

最大14部位のレントゲン検査

虫歯の有無・歯髄の有無・歯槽骨の吸収状態・病巣など細部を確認できます。

レントゲン10枚法または14枚法

歯周病(細菌により骨が溶ける病気)の精密検査

根の表面に細菌が付いていると、過剰な免疫反応により骨が細菌から離れるように溶けていきます。骨の溶け具合を調べるため、プローブという器具を使い、歯茎と歯の隙間に入れます。適切な圧力で止まった時の深さを一つの歯に当たり6点測り記録をとります。この深さは歯肉の腫れの程度や、骨の溶け具合により深くなったり浅くなります。歯茎を見ただけでは、骨がどれほど溶けているかが歯茎で隠されているため分かりません。この数値から間接的に歯周病の進行程度を推察することができるようになり、1本ずつの歯周病の診断をつけることが可能となります。歯周病治療を計画する際には必ず必要な検査となります。

歯周精密検査(6点法)

口腔内診査

口腔内の問題(虫歯、段差のある被せ物、軟組織病変、咬合等)と口腔外の問題(顎関節症、筋肉)を確認します。

口腔内診査

噛み合わせの診査

上下の型取りをデジタルでさせて頂きます。型取りにより模型を作成する場合もあります。

歯周精密検査(6点法)

3D CT撮影

必要に応じて3DCT撮影を致します。歯周病でどのように骨が溶けているかを診断したり、保存不可と診断された歯の破折の診断や、根管治療で歯が残せそうか診断するのに必要となります。

噛み合わせの診査

唾液の量を測定します。正常唾液量を下回ると、虫歯が多発することがあります。加齢や薬の 内服による副作用で減少することがあります。

食生活アンケート

食生活に原因がないか、3日連続で食事内容・時間・糖分の有無を記載して頂きます。

食生活を分析し、食事内容、回数や砂糖接種のタイミング、歯ブラシの習慣などを確認しアドバイスさせていただきます。

問診

口腔内の悩みや治療に対するご要望をお聞きします。又、過去の歯科既往歴やご両親・ご兄弟の歯周病の状況をお伺いし診断に役立てます。

問診項目

診査診断・治療方針の決定・
資料のお渡し

検査結果をもとに、診断を行い担当の歯科医師と歯科衛生士が話し合い(カンファレンス)を行います。その後、下記の「口腔内診査の結果・説明書」資料を作成いたします。

ご自宅に帰られた後でもご自身のお口の状態を再度確認することができます。

歯科医師と話し合いの際に「口腔内診査の結果・説明書」をお渡しいたします。

表紙

資料1

資料2

資料3

検査を元に現状の虫歯を避けられる可能性について、わかりやすくグラフを用いて説明させて頂きます。このグラフを用いると何を改善すれば虫歯になりにくくなるかが理解していただけると思います。

 資料4

資料5

資料6

資料7

歯科ドックの費用

歯科ドックの費用は28,000円と消費税でございます。CTは別途4,000円と消費税です。

名古屋市名東区の歯医者・歯科医院【堀部デンタルクリニック】

堀部デンタルクリニック 院長 堀部 智進

資格

  • 歯科医師
  • 日本歯周病学会認定医

検診・歯石取り・歯のクリーニング・フッ素塗布などもご予約いただけます。3か月先のご予約もお気軽にどうぞ。

052-703-2323

診療時間

 
午前
午後

午前:9:00~12:20
午後:14:00~18:00
(最終受付時間17:20)
:17:00まで
(最終受付時間16:20)
:17:20まで
(最終受付時間16:40)

休診日:木曜・日曜・祝日
※祝日週の木曜は午前診療あり

アクセス

052-703-2323

〒465-0073
愛知県名古屋市名東区高針原2−1802

堀部デンタルクリニックでは一緒に働いてくださる仲間を募集中です!