名古屋市名東区の歯医者・歯科医院

〒465-0073 愛知県名古屋市名東区高針原2−1802
高針原交差点左折すぐ

診療時間
9:00~12:20
14:00~18:00

△:水曜17:00、土曜17:20まで
休診日:木曜・日曜・祝日
祝日週の木曜日は午前のみ診療している場合もございます

歯周外科治療

01
こんなお悩みはありませんか?

  • 時々歯茎が腫れたり、出血する
  • 歯がグラグラして噛みにくい
  • 歯周病治療を続けても改善が見られず不安

こうした症状は、歯周病が進行しているサインかもしれません。
症状が悪化する前に、一度ご相談ください。

02
歯周外科治療はこんな方におすすめ

名古屋市名東区の歯周外科治療
  • 歯周基本治療(歯科衛生士による歯磨き指導、歯石除去)のみでは改善が困難な、深い歯周ポケットがある方
  • 歯を支える骨である歯槽骨(しそうこつ)が溶けるなど、歯周病が進行している方
  • 被せ物や入れ歯などの処置を行うために、より適切な歯ぐきの修復が必要な方
  • 歯科衛生士ではお掃除が困難な部位(根分岐部、根面溝等の器具が届かない場所)についた汚れを目視下でお掃除するとき

03
歯周外科治療とは?

名古屋市名東区の歯周外科治療

「歯周外科治療」は、外科的な治療により歯周病の改善を目指す治療法です。

通常の歯周基本治療(歯磨き指導、歯石除去)で十分な効果が得られない場合に検討される選択肢となります。

重度の歯周病でも歯を残せる可能性を高め、症状の悪化を防ぐことが可能です。

04
当院の歯周外科治療

歯周病学会認定医による治療

名古屋市名東区の歯周外科治療

歯周病が重症化した場合は「歯周外科治療」や、あごの骨・歯ぐきを再生する「再生療法」などを行います。歯周外科治療や再生療法は手術を伴うため、歯周病を専門に勉強し、数多くの治療実績を重ねた歯科医師でなければ難しい治療です。

当院では、日本歯周病学会「認定医」の資格を持つ院長が歯周外科治療を担当しています。この資格は、学会に治療技術や知識、実績を認められた歯科医師だけが取得できるものです。

歯医者に通っているけれどなかなか歯周病が改善しない方、「抜くしかない」と言われるほど重症になってしまった方もご相談ください。難しい治療にも対応できる日本歯周病学会「認定医」が担当するので、歯周病の症状が重いケースでも改善が見込めます。

精密検査で歯周病の原因を追究

名古屋市名東区の歯周外科治療

歯周病治療の成功は、正確な診断から始まります。私たちは、お一人ひとりの歯周病の進行度と根本的な原因を特定するため、詳細な検査を実施しています。

検査内容は以下です。

  • エックス線撮影(必要に応じて歯科用CT)
  • 歯周ポケットの深さ測定(各歯の周囲6箇所)
  • 歯周ポケット検査時の歯茎の出血の有無
  • 歯の動揺(ぐらつき)度
  • プラーク(歯垢)の付着状況
  • 噛み合わせの診査 など

深い歯周ポケットがある場合や、歯根(しこん:歯の根っこ)の分岐部(股の部分)まで骨が破壊されている場合は、歯周病がかなり進行しています。こうしたケースでは、スケーリング・ルートプレーニングといった通常の歯周病治療では限界があります。ましてや患者さまご自身でのケアが困難なのは、言うまでもありません。

歯周病の進行を防止するために、感染源の徹底除去と歯周組織の形態改善を行いセルフケアをしやすくするために、歯周外科治療は必要となります。当院では事前に十分な検査を行い、その患者さまに歯周外科治療が必要かどうかを、きちんと見極めています。

なお、歯周外科治療の成功には、プラークコントロールが重要です。日常のケアが不十分な状態では治療効果が期待できないため、まずはセルフケアの向上に取り組んでいただくことから始めます。ご協力いただけない場合は歯周外科治療を受けられないこともありますので、ご理解のほどお願いいたします。

中度・重度でも
歯を残せるよう尽力

名古屋市名東区の歯周外科治療

歯周病が進行してしまい「抜歯するしかない」と診断された方でも、諦める必要はありません。私たちは歯周外科治療を駆使し、重症化した歯周病においても可能な限り歯を残す治療に取り組んでいます。

歯周外科治療は、歯周病の悪化を食い止め、抜歯を回避できる可能性を高める治療法です。ただし、総合的に判断して、抜歯が患者さまにとって最善と考えられる場合は、その旨を正直にお伝えいたします。

治療を続けてもなかなか改善が見られない方、重症と診断された方のお力になれるかもしれません。歯周病でお困りの方は、ぜひ一度ご相談ください。

ヘミセクションとトライセクション

奥歯の根っこは、複数存在することをご存知でしょうか。下の奥歯には2本、上の奥歯には3本の根がある方が多いのですが、そのうち1根が折れたり虫歯になったり、1根のみ歯周病が進行し完治が難しい場合に有効な治療法があります。

歯を完全に抜くのではなく、損傷した根とその上の歯冠(しかん:歯茎より上の部分)の一部のみを部分的に除去する「歯根分割抜去法(しこんぶんかつばっきょほう)」という術式です。

歯の根が2本ある場合の処置を「ヘミセクション」、3本の場合を「トライセクション」と呼び、健康な根と歯冠部分を温存できます。根を除去した部分は被せ物でカバーするため、お食事などの日常生活に支障をきたすことはありません。

トンネリング、歯根分割

根分岐部(こんぶんきぶ:奥歯の根本が枝分かれしている部分)の病巣をとり除き、根分岐部の骨を削って歯間ブラシが通過できる空間を作る外科処置です。

歯間ブラシによる清掃が可能になることで、清潔な状態を保ちやすくなり、歯周病の再発予防につながります。

クラウンレングスニング
名古屋市名東区の歯周外科治療

虫歯が深くて腫れが出ているため
骨を削って歯茎を健康にします

名古屋市名東区の歯周外科治療

歯の高さが低くて被せが外れるため
骨を削って高さを取り被せ物を
安定させます

歯茎やその下の骨を一部切除し、歯の見える部分(歯冠)を意図的に長くする歯科治療です。

そうすることで歯の高さが高くなり、被せが取れにくくなります。又、虫歯や歯のヒビが歯茎の下まで進行している場合にも実施し、被せ物を安定して装着できる状態を作り出します。噛む機能の回復と、歯の長期保存を実現する、機能的に重要な処置です。歯と歯ぐきの境界が整い、歯周病や虫歯の再発リスクが軽減されるメリットもあります。

①のように、虫歯が歯茎の中まできていると歯肉に炎症が生じるため、骨を下げて歯肉を健康な状態に戻す必要があります。

②では、歯の高さが低いと被せが外れやすく、失敗の原因となるため、骨を下げて被せが外れにくく高さを確保する必要があります。

このようなことを配慮せず被せると、問題をおこします。
被せが外れたり、隙間から虫歯になったり、根に膿みがたまるなどのトラブルが頻発します。

なお、この処置は審美目的でガミースマイルにも行われることもあります。

歯周組織再生療法

歯を支える歯茎やあごの骨を再生させる治療法です。いくつかの手法があり、患者さまのお口の状況に最適と思われる方法をご提案しています。

組織再生効果のある薬剤(リグロスやエムドゲイン)を使用した治療や、GTR膜という人工膜で組織再生を促す「歯周組織再生誘導法(GTR法)」などを行っています。

定期的なメインテナンスで
再発を予防

名古屋市名東区の歯周外科治療

歯周外科手術により症状が改善され、歯茎の状態が落ち着いてブラッシングができるようになると、いよいよ定期検診の段階へ進みます。

当院が定期検診を重視するのは、せっかく治療した歯周病の再発を何としても防ぎたいからです。定期的なメインテナンスへの移行が、歯周外科治療のゴールだと考えています。

検診では、歯科衛生士がブラッシングテクニックや歯間ブラシの正しい使い方を丁寧にご指導。手術後は歯間の隙間が変化することがあるため、患者さまに合った歯間ブラシのサイズをその都度ご提案いたします。

また、歯周外科治療によって歯の根が見えるようになり、知覚過敏を起こすケースもあります。そのような場合は、症状緩和に効果的な歯磨き粉をおすすめするなど、きめ細かくサポート。ご自宅でのセルフケアも、より効果的に行っていただけるでしょう。

05
歯周外科治療の症例

名古屋市名東区の歯周外科治療
名古屋市名東区の歯周外科治療
名古屋市名東区の歯周外科治療

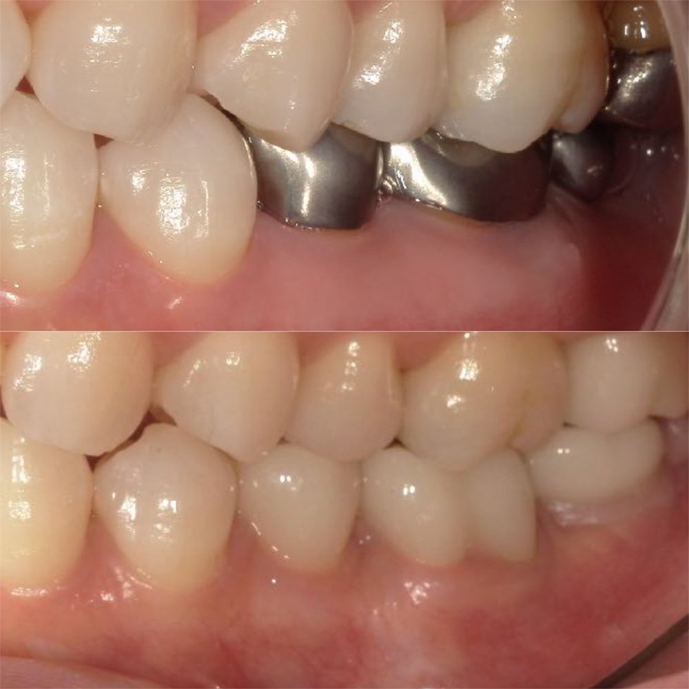
左下5、6番目

治療の内容:歯の高さが足りなく、かぶせものが外れやすい状況にある場合、 歯の高さを確保するために歯茎を下げる外科処置を行います。 

治療の期間:4か月
回数:5回
金額:クラウンレングスニング2歯 66000円 、セラミッククラウン2歯 220,000円 

名古屋市名東区の歯周外科治療
名古屋市名東区の歯周外科治療
名古屋市名東区の歯周外科治療
名古屋市名東区の歯周外科治療

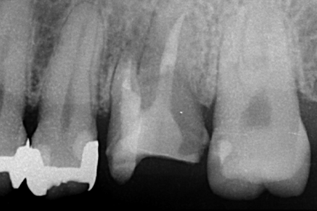
左上6番目

治療の内容:パーフォレーションにより根分岐部病変があり、根尖病変もある症例。歯内歯周病変で歯周病と根尖病変が合併している難治症例。根管治療後分岐部病変が治らなかったため遠心頬側根の歯根切除を行いその後近心頬側根が石灰化しておりそこの根尖病変も治癒が悪かったため歯根端切除も行った。歯周ポケットがなくなり、根尖病変も治癒傾向なため補綴処置を行なった。

治療の期間:8か月
回数:根管治療4回、コア1回、歯根切除1回、抜糸1回、歯根端切除1回、抜糸1回
金額:保険治療
治療のリスク・副作用:術後に歯根破折を起こしたり、清掃不良から歯周病や虫歯を作ることがある。

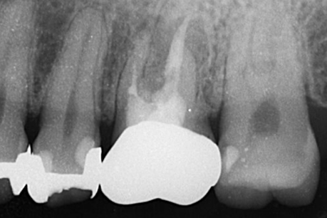
名古屋市名東区の歯周外科治療
名古屋市名東区の歯周外科治療

治療の内容:左下2番目の垂直性骨欠損に対してエムドゲインと骨移植を行い、8か月後に評価したら歯周ポケットの閉鎖を認めた。

治療の回数:再生療法1回、消毒、抜歯3回、再検査1回
治療期間:8か月
金額:110,000円
治療のリスク・副作用:歯肉退縮や知覚過敏が生じることがある。歯周ポケットがなくならない場合は再手術を提案することがあります。

06
歯周外科治療の
種類・料金

クラウンレングスニング

歯茎や骨を一部取り除いて、歯の見えている部分(歯冠)を長くする処置です。被せ物を正確に作るためには欠かせない処置で、長期的に歯を残すために有効な手段とされています。

1歯 33,000円

治療の期間・回数:2回、2か月
リスクや副作用:出血を伴う可能性があります。手術後に、痛みや腫れ、出血を引き起こす可能性があります。

エムドゲイン

重度の歯周病によって破壊された歯周組織(歯を支える組織)を、エムドゲイン・ゲルという薬剤を使用して再生させる治療法です。

費用 121,000円

治療の期間・回数:5回、8か月(歯周ポケットが残存の場合はプラス3か月)
リスクや副作用:完全に組織が元通りになるわけではありません。組織が再生するまで1年近くかかります(期間は個人差があります)。手術後に、痛みや腫れ、出血を引き起こす可能性があります。喫煙している方は期待通りの効果を得られない場合があります。

GTR法

重度の歯周病によって破壊された歯周組織(歯を支える組織)を、メンブレンと呼ばれる人工膜を使用して再生させる治療法です。

費用 121,000円

治療の期間・回数:5回、6~12か月(歯周ポケットが残存の場合はプラス3か月)
リスクや副作用:完全に組織が元通りになるわけではありません。組織が再生するまで1年近くかかります(期間は個人差があります)。手術後に、痛みや腫れ、出血を引き起こす可能性があります。喫煙している方は期待通りの効果を得られない場合があります。

リグロス

重度の歯周病によって破壊された歯周組織(歯を支える組織)を、リグロスと呼ばれる線維芽細胞増殖因子(bFGF)を使用して再生させる治療法です。

費用:保険治療

治療の期間・回数:5回、6~12か月(歯周ポケットが残存の場合はプラス3か月)
リスクや副作用:完全に組織が元通りになるわけではありません。組織が再生するまで1年近くかかります(期間は個人差があります)。手術後に、痛みや腫れ、出血を引き起こす可能性があります。喫煙している方は期待通りの効果を得られない場合があります。
 

その他以下のような条件があります。

  • 抜歯と同時に用いることができません。
  • 歯の周りが粘膜に囲まれている場合は用いることができません。
  • 強い薬のため、組織が過剰増生することが、まれにあります。
  • エムドザインに比べ、術後の痛み、腫れが生じやすい。
  • 喫煙されている方は期待通りの効果を得られない場合があります。
  • 悪性腫瘍を有する患者、またはその既往がある部位には使用できません。
  • 一度リグロスを使用した部位には使用できません。

※表示価格は全て税込です。

07
歯周外科治療の
よくあるご質問

歯周外科治療の後に
気をつけることはありますか?

治療後は、手術部位と反対側で食事をして下さい。当日は、刺激になるような硬い食べ物や辛い飲食物を避けてください。冷たいものや熱いものもお控えください。しばらく歯ブラシが当てられないため、うがい薬を使用してください。

また、歯ブラシなどのホームケアは、歯科医師から指示された方法で行ってください。

歯周外科治療が必要な歯を
放置すると、どうなりますか?

歯周病が進行すると、歯茎の腫れや出血、歯の揺れ、噛んだ際の痛みといった症状が出てきます。そのまま放置すると、歯が抜け落ちたり抜歯になる可能性が高くなります。早めの治療が大切です。

歯周外科手術からの回復には、
どのくらいの期間が
かかりますか?

手術の種類や歯茎の状態によりますが、1~2週間後に糸とりをします。そこから歯ブラシを再開していただきます。その後おおよそ3週間程度で傷が修復されますのでその頃には通常通り磨けます。

ただし、歯茎が完全に治るまで数か月かかる場合もありますので、詳しくは歯科医師からの説明をお聞きください。

歯周病でお悩みの方は、名古屋市名東区にある「堀部デンタルクリニック」で歯周外科の治療をご検討ください。より専門的なアプローチで、歯周病の改善を目指します。
 

名古屋市名東区の歯医者・歯科医院【堀部デンタルクリニック】

堀部デンタルクリニック 院長 堀部 智進

資格

  • 歯科医師
  • 日本歯周病学会認定医

研修会

  • surgery archive salon
  • 藤本研究会ぺリオ・インプラントコース
  • 愛知学院大学 歯周病学講座専攻生

検診・歯石取り・歯のクリーニング・フッ素塗布などもご予約いただけます。3か月先のご予約もお気軽にどうぞ。

052-703-2323

診療時間

 
午前
午後

午前:9:00~12:20
午後:14:00~18:00
(最終受付時間17:20)
:17:00まで
(最終受付時間16:20)
:17:20まで
(最終受付時間16:40)

休診日:木曜・日曜・祝日
※祝日週の木曜は午前診療あり

アクセス

052-703-2323

〒465-0073
愛知県名古屋市名東区高針原2−1802

堀部デンタルクリニックでは一緒に働いてくださる仲間を募集中です!