名古屋市名東区の歯医者・歯科医院

〒465-0073 愛知県名古屋市名東区高針原2−1802
高針原交差点左折すぐ

診療時間
9:00~12:20
14:00~18:00

△:水曜17:00、土曜17:20まで
休診日:木曜・日曜・祝日
祝日週の木曜日は午前のみ診療している場合もございます

ガムブリーチ

ガムブリーチ

ガムブリーチとは「歯茎を綺麗なピンク色に戻す歯茎のホワイトニング」のことです。

歯茎が黒ずんでいて不健康に見えたり、歯のホワイトニングを行ったけれども歯茎の黒さが気になっているといったお悩みはありませんか?

黒ずんだ歯茎を健康的で綺麗なピンク色の歯茎にすることができる技術で、ホワイトニングした白い歯をより美しく演出するのにも効果的です。見た目も若々しくなり、口元が美しくなることで顔の印象もアップします。

治療の流れ

薬液をメラニンの沈着が見られる歯肉に塗布します。

薬液が徐々に反応して、歯肉が白く変色してきます。

施術後3日~7日後で歯肉の状態が徐々に変化します。

薬液を塗布していた歯肉にかさぶたのように薄い膜のようなものができ、この膜がはがれると下に、ピンク色の新しい歯肉ができます。

2週間後に来院頂き歯肉の色味の確認を行います。

ホワイトニング効果が十分でない場合には再度ホワイトニングを実施します。

注意事項

  • 施術を行う際に、人によっては薬剤が染みて痛みが生じる可能性があります。施術直後は歯茎が敏感な状態にあるため、飲食や歯磨き等に気を付ける必要もあります。
  • 歯茎のホワイトニングを実施した直後は、組織を剥がし取っているため非常に敏感な状態になっています。喫煙はもちろん、香辛料のたくさん入った食べ物やコーヒー、炭酸飲料などの飲み物といった刺激のある物の摂取は控えるようにしましょう。
  • 効果も永続的なものではなく、およそ2、3年が経過すると元の状態に戻ってしまうため、綺麗な歯茎の状態を維持するには定期的に歯茎のホワイトニングを実施する必要があります。

 

当院の症例

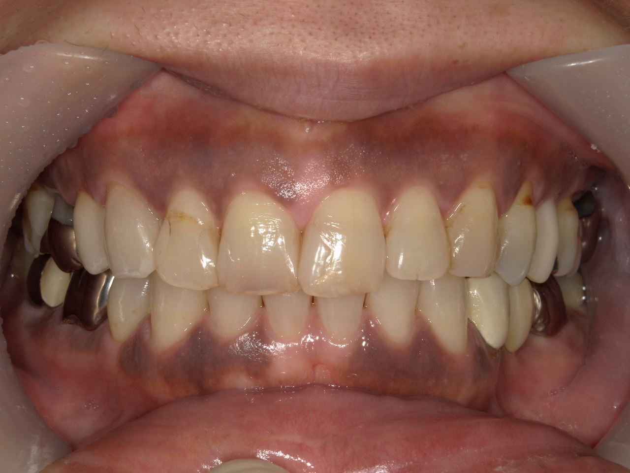
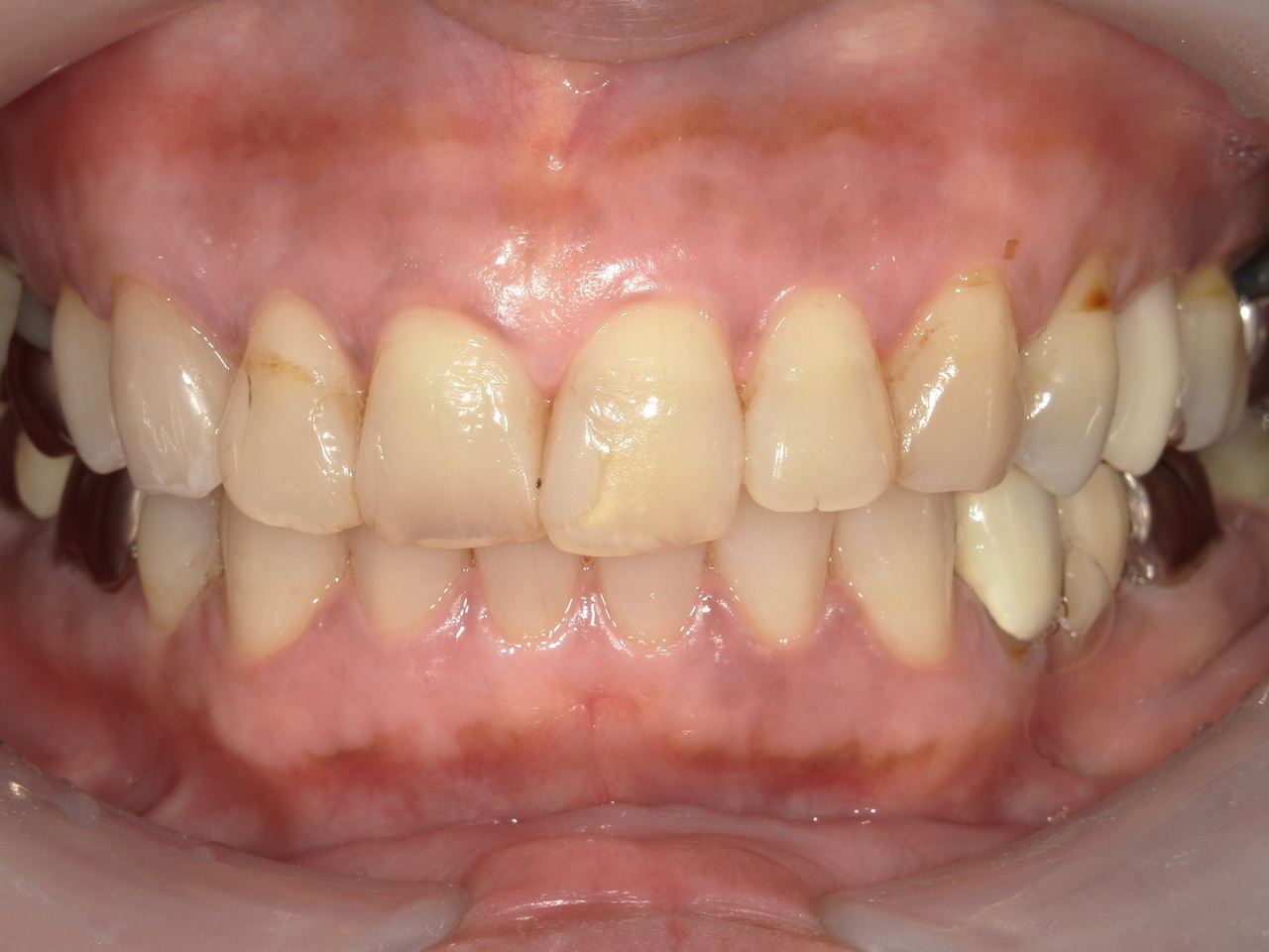
歯肉に喫煙によるメラニン沈着が
認められます。

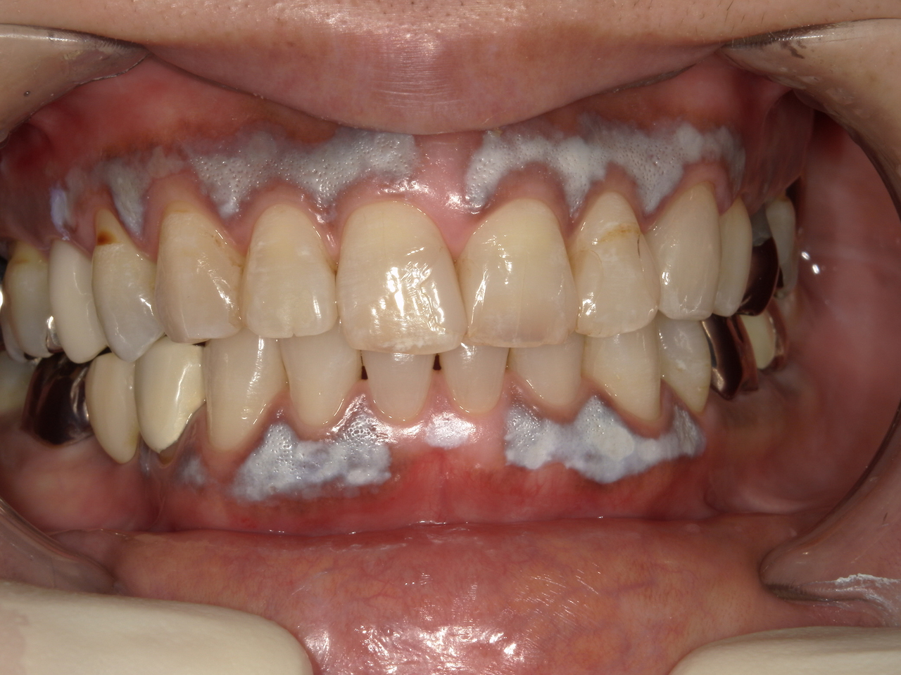
ホワイトニング剤の塗布を行うと
白く変色します。

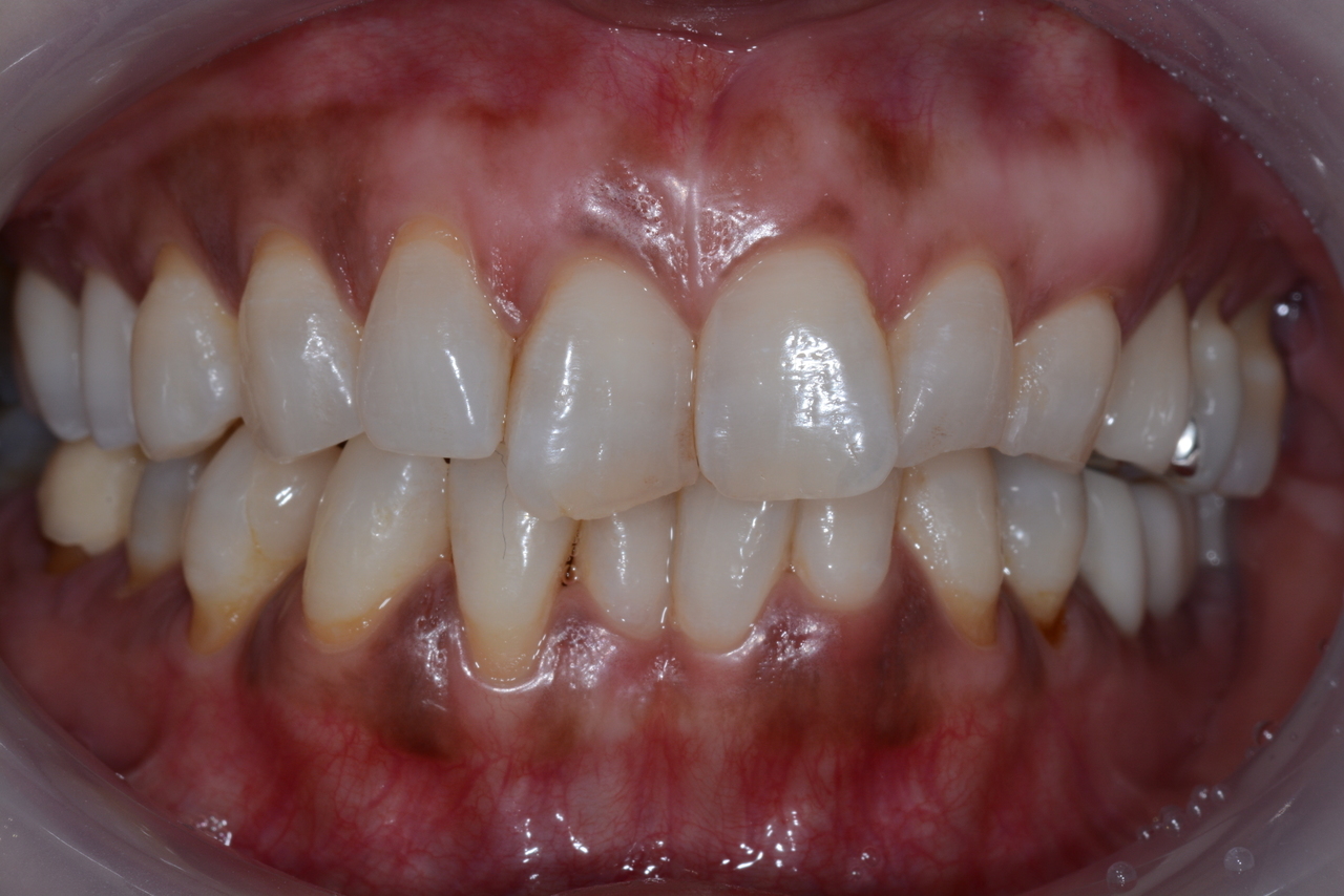
10日後白い薄皮が剥がれて、
ピンク色の歯茎に変わります。

名古屋市名東区の歯医者・歯科医院【堀部デンタルクリニック】

堀部デンタルクリニック 院長 堀部 智進

資格

  • 歯科医師
  • 日本歯周病学会認定医

検診・歯石取り・歯のクリーニング・フッ素塗布などもご予約いただけます。3か月先のご予約もお気軽にどうぞ。

052-703-2323

診療時間

 
午前
午後

午前:9:00~12:20
午後:14:00~18:00
(最終受付時間17:20)
:17:00まで
(最終受付時間16:20)
:17:20まで
(最終受付時間16:40)

休診日:木曜・日曜・祝日
※祝日週の木曜は午前診療あり

アクセス

052-703-2323

〒465-0073
愛知県名古屋市名東区高針原2−1802

堀部デンタルクリニックでは一緒に働いてくださる仲間を募集中です!